GINGIVECTONY & GINGIVOPLASTY
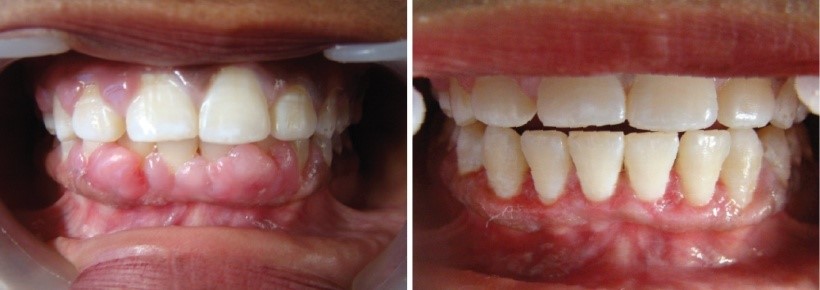
Gingivoplasty is a surgical procedure done to shape the gums by cutting off the excess gum tissue. This is also called gum contouring.
Gingivectomy is a surgical procedure used to treat swollen, diseased gums and get rid of pocket.
At Lakecity Hospital these procedures are performed by highly experienced Periodontist using laser technology.
