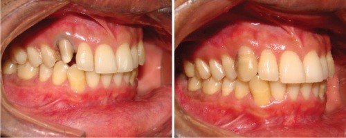
DENTAL CROWN
Dental crowns are the caps that are place over a tooth and crystallized at their place by dental adhesive. They act like a protective cover for badly decayed teeth or fractured teeth and a permanent restoration solution for teeth with large fillings.
Types of crowns that is suggest by bhopal's best dentists on the basis of oral health evaluation:-
- CERAMIC :-These are used for restoring front teeth and are popular in this area for their ability to brew with your natural tooth colour.
- PORCELAIN (FUSED TO METAL):- This crown provides a vigorous bond than regular porcelain because it’s connected to a metal structure and is also extremely durable.
- Metal Crown :- These restorations are made using “white” (silver-colored) dental alloy (stainless steel alloy). They’re known for their great strength and exceptional durability Picture of a gold crown that shows when the person smiles.
